Dieta bogata w wysokoprzetworzone produkty powoduje odkładanie się w mięśniach tłuszczu do tego stopnia, że ludzkie uda zaczynają wyglądać jak marmurkowe steki. Tłuszcz odkłada się niezależnie od ilości spożywanych kalorii.
- Najnowsze informacje z Polski i świata znajdziesz na stronie głównej RMF24.pl.
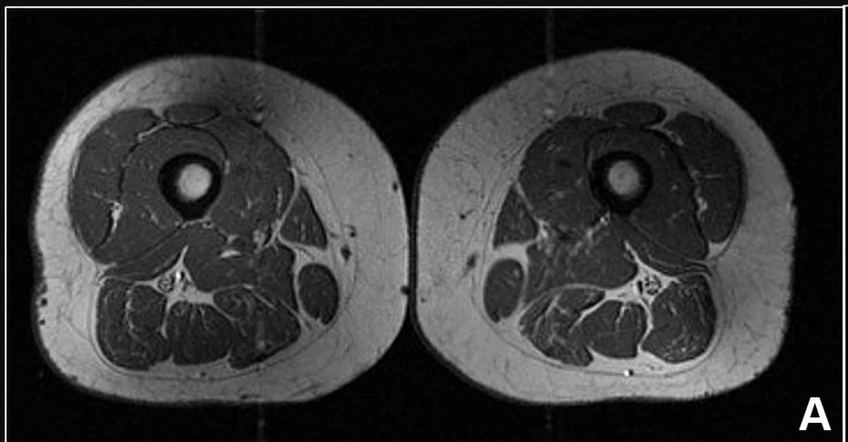
Zdjęcia z rezonansu magnetycznego opublikowane przez naukowców z Uniwersytetu Kalifornijskiego w San Francisco na łamach pisma "Radiology" pokazują, dlaczego warto unikać ultraprzetworzonej żywności.
Na jednym z nich widać coś, co - jak zauważa CNN - może przypominać marmurkowy stek z licznymi drobnymi włóknami tłuszczu. Jest to jednak udo 62-letniej kobiety, która 87 proc. swojego rocznego zapotrzebowania kalorycznego pokrywała, spożywając żywność wysoko przetworzoną.
Dieta tej uczestniczki składała się głównie z płatków śniadaniowych, czekoladek lub batoników, zwykłych napojów gazowanych lub butelkowanych napojów słodzonych - powiedziała dr Zehra Akkaya, jedna z autorek badania.
Badacze odkryli, że produkty tego typu sprzyjają odkładaniu się tłuszczu w mięśniach. Dzieje się tak niezależnie od liczby spożywanych kalorii, tłuszczu oraz od czynników społeczno-ekonomicznych.
Naukowcy przeanalizowali dane na temat 615 zdrowych uczestników (średni wiek - 60 lat) projektu Osteoarthritis Initiative, poświęconego chorobie zwyrodnieniowej stawu kolanowego. Stwierdzili, że im więcej ultraprzetworzonej żywności spożywali badani, tym więcej tłuszczu śródmięśniowego mieli w mięśniach ud. Dane wskazują, że dodatkowy tłuszcz może zwiększać ryzyko zwyrodnieniowej choroby kolan.
Choroba zwyrodnieniowa stawów jest coraz powszechniejszym i kosztownym problemem zdrowotnym na świecie. Stanowi jedno z największych, niezwiązanych z nowotworami obciążeń finansowych dla ochrony zdrowia w Stanach Zjednoczonych i na całym świecie. Jest silnie powiązana z otyłością oraz niezdrowym stylem życia - mówi autorka badania, dr Zehra Akkaya ze wspomnianej uczelni.
Badanie to podkreśla kluczową rolę żywienia dla jakości mięśni w kontekście choroby zwyrodnieniowej stawu kolanowego. Ograniczanie otyłości jest podstawowym celem i leczeniem pierwszego rzutu w chorobie zwyrodnieniowej stawu kolanowego, jednak wyniki tego badania pokazują, że większą uwagę należy zwracać na jakość diety, a programy odchudzania powinny uwzględniać nie tylko ograniczenie kalorii i aktywność fizyczną, lecz także jakość spożywanych produktów - dodaje.
Jednocześnie trzeba mieć na uwadze, że wysokoprzetworzona żywność może sprzyjać odkładaniu się tłuszczu także w innych mięśniach.
Według amerykańskiego Centrum Kontroli i Zapobiegania Chorobom (CDC) ponad 50 proc. kalorii spożywanych przez dorosłych w Stanach Zjednoczonych pochodzi z żywności wysoko przetworzonej. W przypadku dzieci odsetek ten wzrasta do 62 proc. Problem nie dotyczy jednak tylko USA.
Z informacji jakie można znaleźć na stronach sanepidu i Narodowego Centrum Edukacji Żywieniowej wynika, że w Polsce co trzecie dziecko w wieku wczesnoszkolnym regularnie sięga po słodkie napoje, a wśród nastolatków odsetek ten wynosi około 10 proc. u dziewcząt i 22 proc. u chłopców. Chipsy i słone przekąski spożywa co najmniej 2-3 razy w tygodniu co czwarte młodsze dziecko, natomiast w grupie młodzieży odsetek ten wzrasta do 30 proc. wśród dziewcząt i aż 45 proc. wśród chłopców. Słodycze, takie jak cukierki, żelki, wyroby czekoladowe czy ciastka, są obecne w diecie 29-42 proc. dzieci i nastolatków przez większość dni w tygodniu lub codziennie. Dania typu fast food pojawiają się kilka razy w tygodniu u 10 proc. nastolatek i 14 proc. nastolatków.
Takie nawyki żywieniowe przekładają się na rosnący problem nadwagi i otyłości - najnowsze dane wskazują, że aż 32,5 proc. ośmiolatków w Polsce ma nadmierną masę ciała, przy czym problem ten częściej dotyczy chłopców. Wśród dorosłych spożycie produktów wysokoprzetworzonych jest zazwyczaj okazjonalne, choć regularne picie słodkich napojów gazowanych deklaruje około 20 proc. mężczyzn i 10 proc. kobiet.
Żywność ultraprzetworzona zwykle ma dłuższy termin przydatności do spożycia, a zarazem bywa bardzo atrakcyjna i wygodna w użyciu. Zawiera przy tym dużo tłuszczu, soli i węglowodanów, które oddziałują na układ nagrody w mózgu, przez co trudno przestać ją jeść.
Do takich produktów należą m.in. płatki śniadaniowe, margaryny i inne smarowidła, pakowane przekąski, fast foody, napoje gazowane i energetyczne, słodycze i desery, gotowe dania oraz produkowane masowo pakowane pieczywo i bułki.


