zdrowie
- Wszystkie (826)
- Artykuły (826)
Artykuły (826)
-
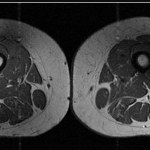
Ludzkie udo jak marmurkowy stek. Przetworzona żywność zmienia nasze ciała
- Czwartek, 16 kwietnia (07:59)
Dieta bogata w wysokoprzetworzone produkty powoduje odkładanie się w mięśniach tłuszczu do tego stopnia, że ludzkie uda zaczynają wyglądać jak marmurkowe steki. Tłuszcz odkłada się...zdrowie, mięśnie -
Jedz na zdrowie. Oto kilka słodkich powodów
- Niedziela, 12 kwietnia (10:22)
-
Spacer mimo chłodu i zimowa kąpiel leśna? Kilka kroków bliżej do zdrowia
- Sobota, 7 lutego (00:17)





