O tym, że muzyczna edukacja ma wpływ na nasz mózg i zdolności poznawcze nikogo właściwie nie trzeba już przekonywać. Naukowcy nie raz pokazali na przykład, że wczesna nauka gry na instrumencie poprawia wyniki w szkole. Najnowsze wyniki badań wskazują na to, że po reakcjach mózgu można poznać, czy dana osoba ma muzyczne wykształcenie, czy nie. Wszystko dlatego, że - jak piszą na łamach czasopisma "Scientific Reports" naukowcy z Finlandii i Danii, muzyczna edukacja zmienia sposób, w jaki mózg reaguje na dźwięki.
Badacze z University of Jyväskylä i Aarhus University wykorzystali metody analizy obliczeniowej i uczenia maszynowego do opracowania danych pomiarowych aktywności mózgu podczas słuchania muzyki. Przekonują, że z dużą dokładnością są w stanie ocenić, czy dany słuchacz jest muzykiem, czy nie. I to niezależnie od tego, czy badani słuchają muzyki, którą znają lub lubią, czy nie.
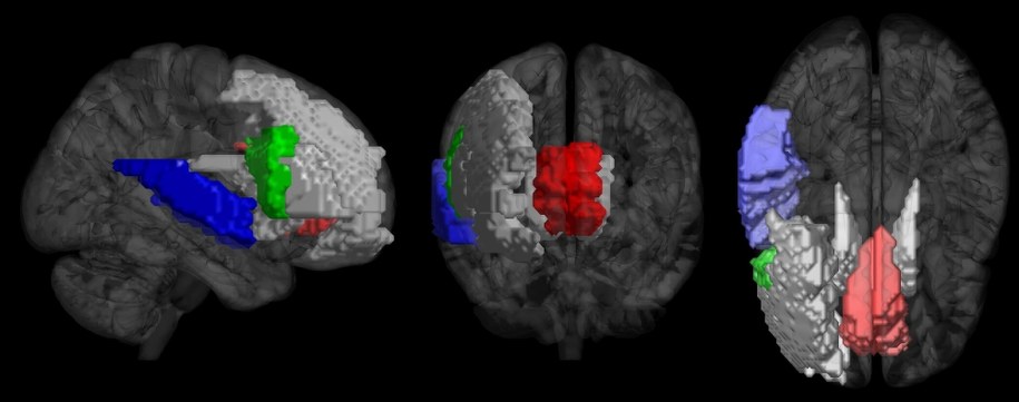
Do udziału w eksperymencie zaproszono 36 osób, 18 muzyków i 18 osób bez muzycznego przygotowania. Aktywność mózgu każdego z uczestników, podczas słuchania fragmentów muzyki różnych gatunków, badano z pomocą aparatury funkcjonalnego rezonansu magnetycznego. Okazało się, że edukacja muzyczna silnie wpływała na reakcje mózgu i można było na ich podstawie ocenić, kto taką edukację przeszedł. Najsilniej te różnice było widać w obszarach kory czołowej i skroniowej prawej półkuli mózgu.
Nowością w naszych badaniach był fakt, że zamiast prezentować statyczny obraz aktywności pokazaliśmy, jak mózg opracowuje muzykę w dłuższym przedziale czasu - tłumaczy pierwszy autor pracy, dr Pasi Saari z University of Jyväskylä. Uwzględnienie czasowej dynamiki procesu pozwoliło znacznie poprawić jakość wyników - dodaje. Badacze wykorzystali metodę uczenia maszynowego do stworzenia modelu, który pozwala oceniać muzykalność na podstawie analizy odczytów różnych rejonów mózgu.
Model był w stanie ocenić muzykalność danej osoby z 77 proc. dokładnością. Rejony mózgu, które najbardziej się do tego celu przydawały wiązano już wcześniej między innymi z uwagą i zaangażowaniem, a także z analizą muzyki i pojedynczych dźwięków. To rejony najbardziej zaangażowane w odbiór muzyki i najsilniej modyfikowane przez muzyczną edukację - podkreśla współautorka pracy: Iballa Burunat. Najlepszą wskazówką przy ocenie muzykalności była aktywność rejonów mózgu zajmujących się oceną rytmu i tonacji muzyki, to one prawdopodobnie podczas nauki muzyki stają się szczególnie wrażliwe.


