To przełom, na który czekało miliony osób zmagających się z nieuleczalną dotąd ślepotą spowodowaną zwyrodnieniem plamki żółtej (AMD). Międzynarodowy zespół naukowców opisał właśnie na łamach czasopisma "The New England Journal of Medicine" wyniki badań bezprzewodowego implantu siatkówki, który przywraca osobom dotkniętym chorobą zdolność czytania. Aż 84 proc. uczestników eksperymentu było w stanie dzięki implantowi rozpoznawać litery, cyfry i słowa z pomocą oka, które nie przekazywało wcześniej żadnych bodźców wzrokowych. Co więcej, średnio pacjenci byli w stanie przeczytać na tablicy okulistycznej nawet pięć linii, a niektórzy z nich przed zabiegiem nie widzieli nawet samej tablicy.
- Zaawansowana postać AMD, czyli atrofia geograficzna, to najczęstsza przyczyna nieodwracalnej ślepoty u osób starszych - dotyka ponad 5 milionów ludzi na świecie.
- Międzynarodowe badanie prowadzone przez dr. José-Alaina Sahela, prof. Daniela Palankera i prof. Franka Holza objęło 38 pacjentów powyżej 60. roku życia z pięciu krajów Europy.
- Po 12 miesiącach aż 81 proc. uczestników odnotowało wyraźną poprawę ostrości widzenia.
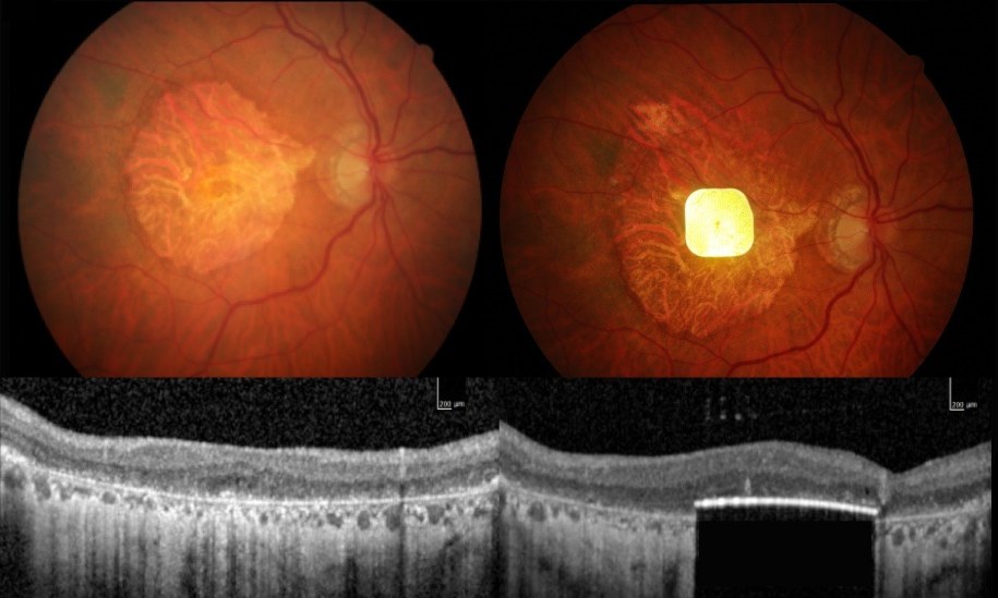
- System PRIMA to miniaturowy implant (2×2 mm), wszczepiany podczas dwugodzinnej operacji, który zastępuje uszkodzone fotoreceptory siatkówki.
- Po roku większość pacjentów znacząco poprawiła zdolność czytania, a powikłania po zabiegu ustąpiły.
- Producent urządzenia złożył wnioski o dopuszczenie systemu do użytku klinicznego w Europie i USA.
Zaawansowana postać AMD, znana również jako atrofia geograficzna (GA), to najczęstsza przyczyna nieodwracalnej ślepoty u osób starszych. Szacuje się, że na całym świecie cierpi na nią ponad 5 milionów ludzi. Choroba prowadzi do postępującego uszkodzenia światłoczułych komórek w centralnej części siatkówki, co skutkuje utratą ostrości widzenia i poważnie ogranicza codzienne funkcjonowanie.
Badanie, które daje nadzieję pacjentom z AMD, zostało przeprowadzone w ramach międzynarodowego, wieloośrodkowego projektu. Pracami kierowali wybitni specjaliści: dr José-Alain Sahel, dyrektor UPMC Vision Institute, prof. Daniel Palanker ze Stanford University oraz prof. Frank Holz z Uniwersytetu w Bonn. W badaniu wzięło udział 38 osób w wieku 60 lat i więcej, rekrutowanych w 17 ośrodkach w pięciu krajach Europy: Francji, Niemczech, Włoszech, Holandii i Wielkiej Brytanii.
Po 12 miesiącach obserwacji aż 81 proc. uczestników odnotowało wyraźną poprawę ostrości wzroku, a 84 proc. korzystało z protezy wzroku w domu, czytając liczby lub słowa. Średnio pacjenci poprawili się o 25 liter - to mniej więcej pięć linii na standardowej tablicy okulistycznej. Co więcej, aż 81 proc. uczestników zyskało 10 lub więcej liter, a jeden z pacjentów poprawił się aż o 59 liter, czyli 12 linii!
To pierwszy raz, kiedy jakakolwiek próba przywrócenia wzroku przyniosła tak spektakularne efekty u tak dużej liczby pacjentów - podkreśla dr Sahel, główny autor badania i kierownik Katedry Okulistyki na Uniwersytecie w Pittsburghu. Ponad 80 proc. pacjentów było w stanie czytać litery i słowa, a niektórzy czytają już całe strony książek. To coś, o czym nie śniliśmy, kiedy 15 lat temu zaczynaliśmy tę drogę razem z Danielem Palankerem - dodał.
System PRIMA, zaprojektowany przez prof. Palankera to miniaturowy, bezprzewodowy implant o wymiarach 2×2 mm, który zastępuje uszkodzone fotoreceptory. Kształtem przypomina kartę SIM i jest wszczepiane podczas zabiegu witrektomii, trwającego mniej niż dwie godziny.
Po około miesiącu od zabiegu, gdy oko się zagoi, implant zostaje aktywowany. Pacjent zakłada specjalne okulary rzeczywistości rozszerzonej z wbudowaną kamerą, która rejestruje obraz otoczenia i przesyła go do niewielkiego komputera noszonego przy pasku.
Komputer, wykorzystując algorytmy sztucznej inteligencji, przetwarza obraz i przekazuje go w postaci wiązki podczerwieni bezpośrednio do implantu. Implant działa jak miniaturowy panel słoneczny - zamienia światło na impulsy elektryczne, które stymulują komórki nerwowe siatkówki. Dalej sygnał trafia do mózgu, gdzie jest interpretowany jako obraz. Pacjenci mogą samodzielnie regulować powiększenie i kontrast obrazu, co pozwala im lepiej dostosować widzenie do własnych potrzeb.
Po roku korzystania z systemu wszelkie powikłania związane z zabiegiem ustąpiły, a większość pacjentów wykazała znaczną poprawę w czytaniu liter na tablicy okulistycznej. Choć implant nie przywraca jeszcze pełnej ostrości widzenia, naukowcy z UPMC prowadzą dalsze badania, by jeszcze bardziej poprawić jakość życia pacjentów i umożliwić im przekroczenie progu prawnej ślepoty.
Na podstawie wyników tego przełomowego badania producent urządzenia, Science Corporation (dawniej Pixium Vision SA), złożył już wnioski o dopuszczenie go do stosowania klinicznego w Europie i Stanach Zjednoczonych. To właśnie w UPMC w 2020 roku po raz pierwszy w USA wszczepiono implant PRIMA w ramach badania prowadzonego przez dr. Josepha Martela.
Odkrycie to otwiera nowy rozdział w leczeniu nieodwracalnej ślepoty u osób starszych. Choć droga do pełnego przywrócenia wzroku jest jeszcze długa, wyniki badania dają nadzieję milionom pacjentów na całym świecie. W badaniu uczestniczyli także naukowcy z Uniwersytetu w Bonn, Szpitala Fundacji Adolphe de Rothschild i Szpitala Okulistycznego 15-20 w Paryżu, Moorfields Eye Hospital w Londynie oraz Uniwersytetu Tor Vergata w Rzymie. Projekt sfinansowała firma Science Corporation z Kalifornii.


