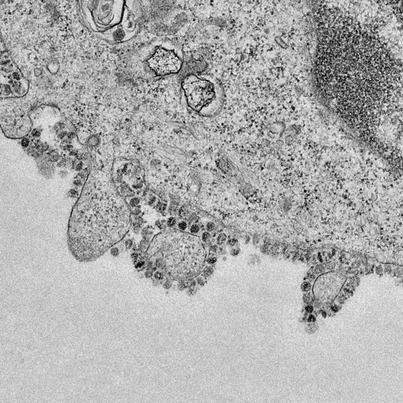
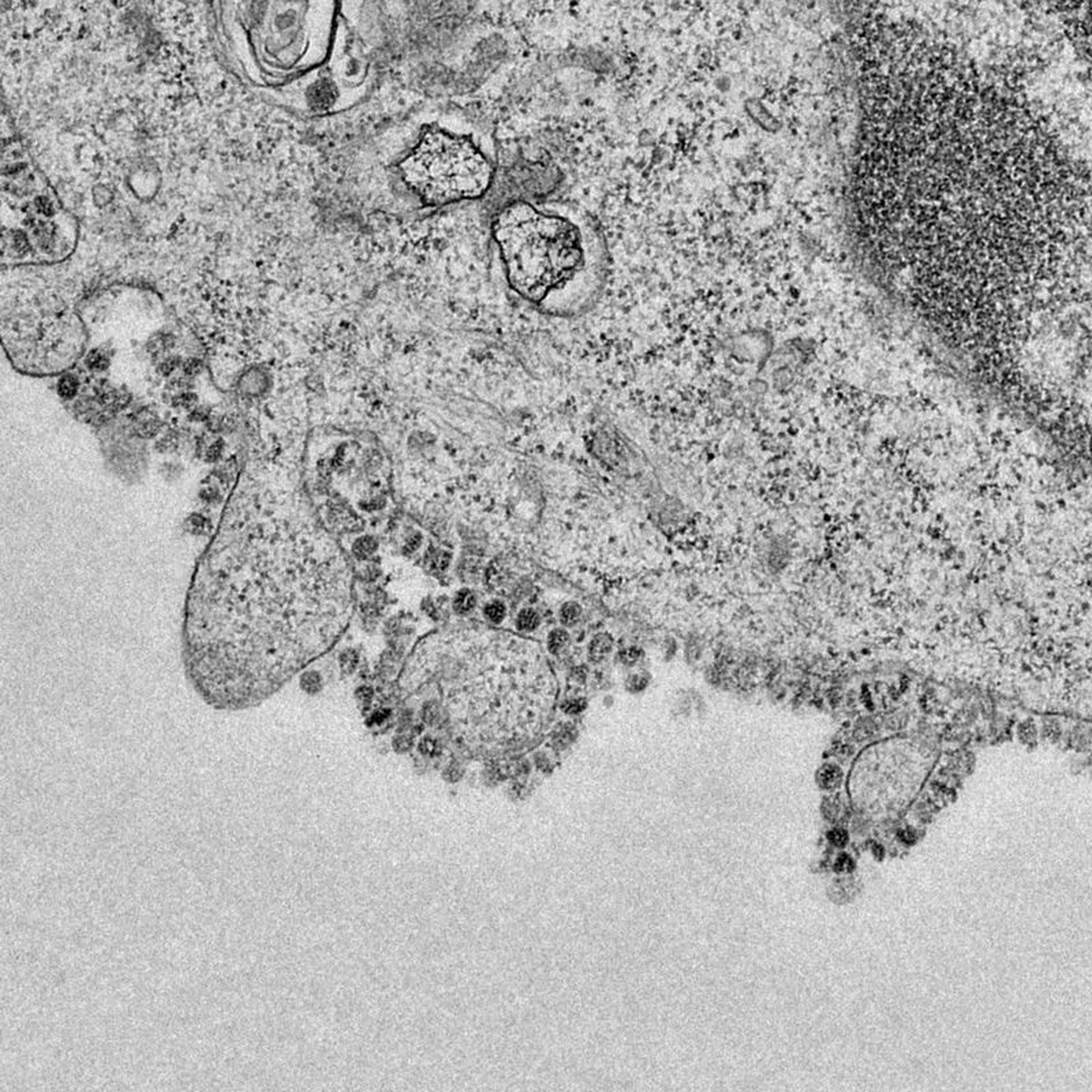
Ponad 31,5 tysiąca zarażonych osób, z których 638 zmarło, a 1764 wyzdrowiało - taki jest najnowszy bilans fali zachorowań z powodu koronawirusa z Wuhan. Zdecydowana większość zachorowań zdiagnozowano w Chinach, w blisko 30 innych krajach pojawiło się do tej pory 313 przypadków infekcji, najwięcej w Singapurze, Tajlandii, Hongkongu, Japonii i Korei Południowej. Chińscy naukowcy ogłosili dziś, że potencjalnym nosicielem pośrednim nowego wirusa mogą być łuskowce. Ssaki te są nielegalnie odławiane i sprzedawane ze względu na ich mięso oraz cenione w tradycyjnej chińskiej medycynie łuski. W czasopiśmie "JAMA" pojawiły się dane dotyczące pierwszych 138 pacjentów ze szpitala w Wuhan, z których 4,3 proc. zmarło. "The Lancet" opublikował komentarz, którego autorzy wskazują, by w przypadkach infekcji koronawirusem nie stosować leków sterydowych, które mogą przynieść więcej szkody niż pożytku.
Ogłoszone przez naukowców z Południowochińskiego Uniwersytetu Rolniczego (SCAU) w Guangzhou odkrycie dotyczące łuskowców opisuje na swej stronie internetowej tygodnik "Nature" podkreślając, że naukowa praca na ten temat nie została jeszcze w żadnym czasopiśmie naukowym opublikowana.
Chińczycy twierdzą, że 99 proc. genów wirusa, wyizolowanego w łuskowcach pokrywa się z genami koronawirusa nCoV-2019 z Wuhan. Odkrycie źródła zakażenia ma istotne znaczenie dla badania przyczyn epidemii. Wiadomo, że koronawirusy przenoszą się między ptakami i ssakami, naukowcy uznają za pierwotne źródło infekcji nietoperze, ale są przekonani, że koronawirus, zanim trafił do ludzi, musiał przejść jeszcze przez jakiegoś pośrednika. W przypadku wirusa SARS takim nosicielem były łaskuny chińskie, a w przypadku wirusa MERS - wielbłądy.
Łuskowce są dobrym kandydatem na to pośrednie ogniwo w łańcuchu infekcji, bo badacze już wcześniej obserwowali, że zakażenia koronawirusami bywały przyczyną ich śmierci. Zarówno nCoV-2019, jak i koronawirusy wyizolowane z tych zwierząt wykorzystują do wnikania do komórek receptory o podobnej budowie cząsteczkowej.
Łuskowce są zwierzętami chronionymi, ale nielegalny handel nimi jest dość powszechny. W tradycyjnej medycynie chińskiej produkty z nich, w tym same łuski stosuje się do leczenia chorób skóry, zapalenia stawów, czy problemów z miesiączkowaniem. Na targu zwierząt i owoców morza w Wuhan, gdzie jak się przypuszcza wirus zaraził ludzi po raz pierwszy, łuskowców oficjalnie nie sprzedawano, ale nie ma wątpliwości, że nikt by się z tym nie ogłaszał, biorąc pod uwagę, że grożą za to wysokie kary, nawet ponad 10 lat więzienia.
O ile pierwsze doniesienia o tym, że pośrednikiem w przeniesieniu koronawirusa na ludzi mogły być węże, od razu spotkały się z niedowierzaniem, tym razem międzynarodowe środowiska naukowe wydają się bardziej otwarte na hipotezę o łuskowcach. Podkreślają jednak, że czekają na konkretnie opublikowane wyniki, ujawnienie, gdzie znaleziono zarażone zwierzęta i jakiego typu próbki pobrano. To ma kluczowe znaczenie dla oceny prawdziwości tej tezy, wykrycie drogi ewentualnego przeniesienia wirusa na ludzi i ustalenia, jak można temu przeciwdziałać.
Naukowcy ze szpitala Uniwersytetu w Wuhan opublikowali właśnie na łamach czasopisma "Journal of the American Medical Association" pierwszą analizę objawów klinicznych 138 pacjentów, u których zdiagnozowano wywołane infekcją koronawirusem 2019-nCoV zapalenie płuc (NCIP). 26 proc. tych pacjentów wymagało przyjęcia na oddział intensywnej terapii, 4,3 proc zmarło.
Analizowano przypadki pacjentów przyjmowanych na oddziały szpitala Zhongnan w dniach od 1 do 28 stycznia 2020 roku, w pracy opisano ich stan na dzień 3 lutego. Mediana wieku pacjentów wynosiła 56 lat, 54,3 proc. z nich to byli mężczyźni. Najczęstsze, odczuwane przez nich objawy to gorączka (98,6 proc.), zmęczenie (69,6 proc.), suchy kaszel (59,4 proc.), bóle mięśni (34,8 proc) i duszności (31,2 proc.).
Rzadziej występowały takie objawy, jak bóle i zawroty głowy, bóle brzucha, nudności, wymioty i biegunki. Do 3 lutego 47 pacjentów (34, 1 proc.) zostało wypisanych, sześciu zmarło (4,3 proc.), pozostali wciąż są hospitalizowani. W przypadku wypisanych pacjentów mediana czasu ich pobytu w szpitalu wynosiła 10 dni.
Wyniki analiz wskazują na to, że koronawirus 2019-nCoV może się szybko przenosić między ludźmi. Parametr R(0), opisujący ile osób średnio każdy z chorych jest w stanie zarazić oszacowano na 2,2, co jest dość wysokim wskazaniem. Prawdopodobnie istotne znaczenie ma tu fakt, że okres inkubacji choroby jest dość długi, nawet do 14 dni, ale dana osoba może zarażać, zanim jeszcze u niej samej objawy się pojawią.
Osoby, które wymagały przyjęcia na oddział intensywnej terapii były przeciętnie starsze i miały dodatkowe schorzenia, nie było przy tym różnic między kobietami i mężczyznami. Widoczna we wcześniejszych badania nadwyżka mężczyzn była prawdopodobnie związana z tym, że to oni częściej pracują na targu Huanan Seafood Wholesale Market, gdzie najprawdopodobniej wirus zaatakował ludzi po raz pierwszy.
Analiza nie wskazuje na powodzenie żadnej szczególnej terapii, najważniejsza jest wczesna diagnoza, izolacja pacjenta i zapewnienie mu ogólnej opieki, w tym wspomagania oddychania. Podawanie pacjentom preparatów antywirusowych (oseltamviru lub metylprednizolonu), czy leków przeciwbakteryjnych nie potwierdziło swojej skuteczności.
Popularne w leczeniu procesów zapalnych sterydy nie powinny być w przypadku infekcji koronawirusem stosowane - pisze na łamach czasopisma "The Lancet" grupa naukowców pod kierunkiem dr Kennetha Baillie z Uniwersytetu w Edynburgu. Analiza przypadków wcześniejszych infekcji koronawirusami, w tym zespołu ostrej niewydolności oddechowej SARS pokazuje, że sterydy praktycznie nie przynosiły poprawy stanu pacjentów, a mogły zaszkodzić.
Zdaniem autorów komentarza, sterydy stosowane do łagodzenia procesów zapalnych w płucach, równocześnie osłabiają zdolność układu immunologicznego do zwalczania samego wirusa i innych możliwych czynników chorobotwórczych, które mogą pogorszyć stan pacjenta.
Analiza danych dotyczących krytycznie chorych pacjentów zarażonych koronawirusem MERS pokazała też, że blisko połowa osób, które otrzymały sterydy musiała być poddawana potem dodatkowej terapii, w tym wspomaganiu oddychania, lekom podnoszącym ciśnienie krwi, czy nawet pewnym formom dializy. Równocześnie organizm osób poddanych działaniu sterydów, dłużej pozbywał się wirusa.


