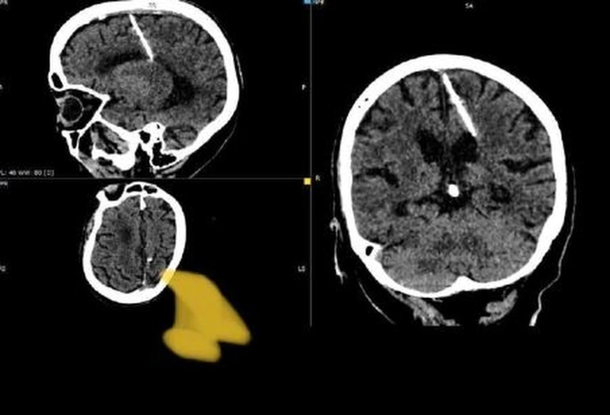
Starsza kobieta z dalekiego wschodu Rosji przeżyła 80 lat z 3-centymetrową igłą w mózgu. Odkryli to przypadkiem lekarze, którzy badali ją za pomocą tomografii komputerowej - poinformował „The Guardian”, powołujący się na lokalne władze medyczne.
Kobieta przyszła na świat w 1943 roku w czasie trwania II wojny światowej.
Zdaniem lekarzy była ofiarą nieudanego dzieciobójstwa dokonanego przez jej rodziców. Jak stwierdził w oświadczeniu wydział zdrowia Sachalinu w czasie wojennego głodu "takie przypadki nie były rzadkością".
"Igła wbiła się w lewy płat ciemieniowy, ale mimo to dziewczynka przeżyła" - poinformował miejscowy wydział sanitarny, dodając, że pacjentka nigdy nie skarżyła się na żadne dolegliwości, które mogłyby być skutkami igły w mózgu.
Lekarze stwierdzili, że nie będą podejmować prób usunięcia igły w obawie przed pogorszeniem jej stanu.


