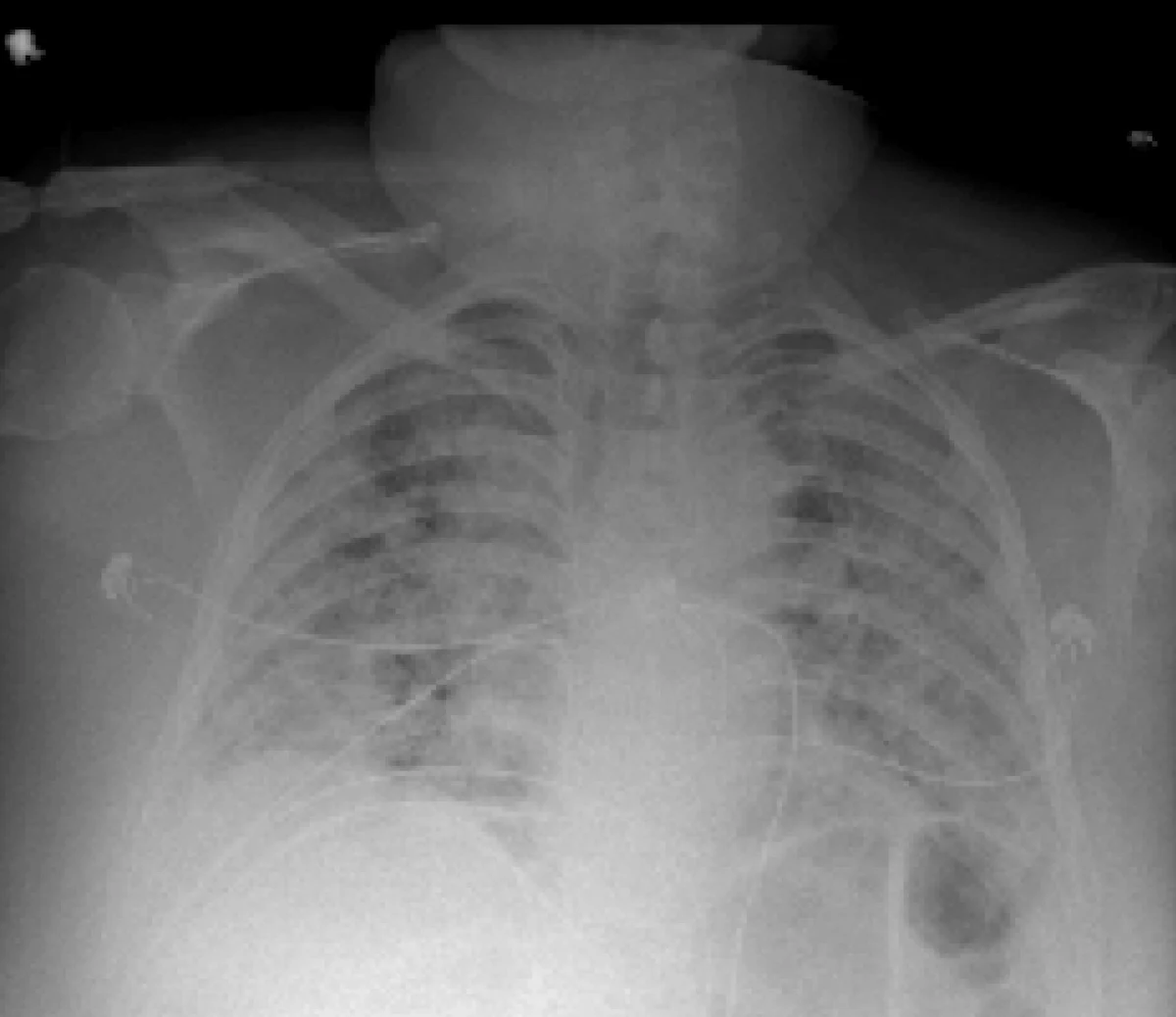
Program komputerowy, wykorzystujący sztuczną inteligencje może na podstawie zdjęć rentgenowskich płuc z dużą dokładnością przewidywać, którzy pacjenci chodzy na Covid-19 są zagrożeni silnym pogorszeniem stanu zdrowia. Wyniki badań, opisane na stronie internetowej czasopisma "NPJ Digital Medicine" przez naukowców z New York University Grossman School of Medicine potwierdzają, że skuteczność przewidywania, u których pacjentów mogą pojawić się w ciągu czterech dni zagrażające życiu powikłania, sięga 80 procent.
Opracowany przez ekspertów NYU Grossman School of Medicine program wykorzystał do procesu uczenia się dane z 5224 zdjęć rentgenowskich klatki piersiowej, wykonanych u 2943 poważnie chorych na Covid-19 pacjentów. Do komputera wprowadzono też dane dotyczące wieku, rasy, wagi i płci pacjentów, wyniki ich badań laboratoryjnych, pomiarów temperatury i badań poziomu przeciwciał, a także dane dotyczące ich pobytu w szpitalu, potrzeby wykorzystania respiratora i ostatecznego wyniku terapii. 2405 z tych osób przeżyło, a z powodu Covid-19 zmarło 538.
Oprogramowanie wykorzystano potem do analizy 770 zdjęć rentgenowskich klatki piersiowej 718 innych pacjentów z Covid-19, przyjętych do szpitali NYU Langone w okresie od 3 marca do 28 czerwca 2020 roku. W 4 na 5 przypadków program skutecznie przewidział, którzy z tych pacjentów w ciągu 4 dni od hospitalizacji wymagali przeniesienia na oddział intensywnej terapii, podłączenia do respiratora, ewentualnie zmarli.
Autorzy opublikowanej dziś pracy przekonują, że w sytuacji, w której wciąż nie do końca wiadomo, co sprawia, że stan niektórych pacjentów z Covid-19 w ciągu zaledwie kilku dni może się gwałtownie pogorszyć, potrzeba nowych narzędzi, które pomogą przewidzieć, kto powinien być szczególnie dokładnie monitorowany.
Lekarze na ostrym dyżurze i w izbie przyjęć potrzebują skutecznych narzędzi rozpoznawania tych pacjentów z Covid-19, których stan może się szybko pogorszyć, których w związku z tym trzeba dokładniej monitorować i wobec których wcześniej wdrażać zaawansowane metody terapii - mówi współautorka pracy, prof. Farah Shamout z filii New York University w Abu Dhabi. Jesteśmy przekonani, że opracowana przez nas metoda klasyfikacji pacjentów z Covid-19 to najpoważniejsze do tej pory, w tej pandemii, wykorzystanie sztucznej inteligencji w radiologii - dodaje Yiqiu "Artie" Shen z NYU Data Science Center.
Jak podkreśla prof. Krzysztof Geras z Department of Radiology NYU Langone, zaletą programów wykorzystujących techniki uczenia maszynowego jest możliwość bieżącego monitorowania ich dokładności, która poprawia się w miarę dostępu do większej ilości danych. Dlatego autorzy metody zamierzają dodawać informacje o kolejnych przypadkach. Chcą też sprawdzić, jakie jeszcze wyniki badań laboratoryjnych mogłyby poprawić dokładność przewidywań programu. Prof. Geras wyraża nadzieję, że program wkrótce uda się szerzej udostępnić. Jego autorzy opracowują właśnie wskazówki, dotyczące jego stosowania.


