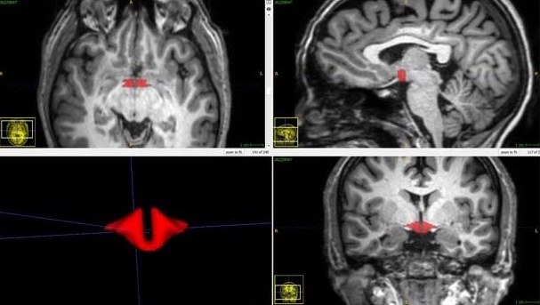
Kobiety stosujące pigułkę antykoncepcyjną mają zauważalnie mniejszą objętość istotnego rejonu mózgu - poinformowali podczas konferencji Radiological Society of North America (RSNA) amerykańscy naukowcy. Chodzi o podwzgórze, znajdujący się ponad przysadką mózgową organ, odpowiadający za hormonalną regulację istotnych funkcji organizmu, w tym temperatury ciała, tętna, nastroju, apetytu, popędu seksualnego i snu.
Autorzy przyznają, że ich wyniki mają wciąż wstępny charakter. Na razie nie wiadomo, jaka jest przyczyna tego efektu i jakie będą jego konsekwencje. Zauważono go dopiero teraz, bo wcześniej nie było możliwości wykonania takich badań.
Wpływ doustnej antykoncepcji na ten mały, ale istotny rejon mózgu nie był do tej pory wystarczająco dobrze zbadany - mówi autor pracy, prof. Michael L. Lipton, radiolog z Gruss Magnetic Resonance Research Center przy Albert Einstein College of Medicine i dyrektor medyczny laboratorium rezonansu magnetycznego przy Montefiore Medical Center w Nowym Jorku. Udało nam się po raz pierwszy dopracować i uwiarygodnić metodę takich badań i potwierdzić po raz pierwszy, że używanie pigułki antykoncepcyjnej ma związek ze zmniejszoną objętością podwzgórza - dodaje.
Pigułki hormonalne są jednymi z najbardziej popularnych środków antykoncepcyjnych, ale obecnie stosuje się je także w przypadkach różnych zaburzeń, jak nieregularne miesiączki, trądzik, endometrioza czy zespół wielotorbielowatych jajników. Prof. Lipton wraz ze współpracownikami zaprosił do udziału w eksperymencie grupę 50 zdrowych kobiet, z których 21 używało doustnej antykoncepcji. U wszystkich przeprowadzono nieinwazyjne badanie struktury mózgu w wykorzystaniem aparatury obrazowania z pomocą Magnetycznego Rezonansu Jądrowego (MRI). Objętość podwzgórza zmierzono z pomocą nowych, opracowanych przez autorów metod analizy obrazu.
Odkryliśmy dramatyczne różnice objętości tej struktury mózgu między kobietami, które stosują pigułkę antykoncepcyjną i tymi, które jej nie zażywają - mówi prof. Lipton. Te wstępne badania wskazują na silny związek jednego z drugim i powinny być motywacją do dalszych badań wpływu doustnej antykoncepcji na strukturę mózgu i ewentualnie także jego funkcje - tłumaczy. Autorzy przyznają, że wstępne wyniki analizy wpływu zmniejszonej objętości podwzgórza na pracę mózgu nie wykazują obniżenia funkcji poznawczych, sugerują jednak, że może mieć znaczenie dla kontroli emocji i pojawiania się objawów depresji.


