Z siedmioma ranami po postrzeleniu z wiatrówki, trafił do szpitala 37-letni mężczyzna, który w Radlinie (Śląskie) zwrócił kierowcom uwagę na zbyt agresywną jazdę. Aresztowany został 23-latek, który wyszedł z jednego z aut i strzelał do mężczyzny - podała we wtorek policja.
Mundurowi zaznaczają, że sprawca nic nie robił sobie z tego, że razem z 37-latkiem na ulicy stoją jego żona i dzieci, a ośmioletni syn stał na linii strzału. Zatrzymany 23-latek był już wcześniej karany.
Cała sytuacja miała miejsce w miniony piątek na ul. Matejki. Policjanci zostali powiadomieni przez żonę rannego 37-latka, że jej mąż został raniony przez osoby poruszające się czerwonym audi.
Jak ustalili policjanci, mężczyzna był z żoną i dwójką dzieci w rejonie skrzyżowania ulic Matejki i Krótkiej. W pewnym momencie zauważył dwa samochody poruszające się z nadmierną prędkością i w małej odległości od siebie.
Mężczyzna, stukając się po głowie, zwrócił uwagę na ich agresywną i niebezpieczną jazdę. Wtedy drugi z pojazdów zatrzymał się w niedalekiej odległości od mężczyzny. Z samochodu wysiadł pasażer, pytając 37-latka, czy ma jakiś problem. Gdy mężczyzna odpowiedział, że nie podoba mu się zbyt szybka jazda po ulicy, w okolicy której przebywają dzieci, pasażer sięgnął po pistolet i zaczął strzelać w jego kierunku - powiedziała PAP rzeczniczka policji w Wodzisławiu Śląskim Marta Pydych.
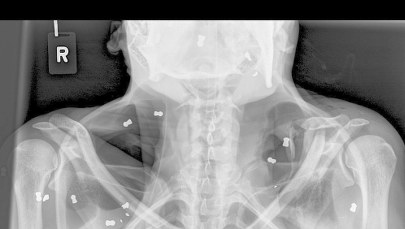
Ranny mężczyzna trafił do szpitala, ma siedem ran postrzałowych, także w okolicy oka. W niektórych ranach znajdowały się jeszcze śruty. W chwili zdarzenia 8-letni syn mężczyzny stał kilka metrów za tatą i znajdował się na linii strzału. Na szczęście nic mu się nie stało - dodała komisarz Pydych.
Policjanci rozpoczęli poszukiwania pojazdu i podróżujących nim mężczyzn. Pomocny w tych ustaleniach okazał się miejski monitoring, na którym zarejestrowano czerwone audi. Jeszcze tego samego dnia ustalono właściciela auta, a w sobotę agresywny pasażer, który strzelał z wiatrówki, był już w rękach radlińskich mundurowych. Zabezpieczyli oni śrutową broń pneumatyczną, która wkrótce zostanie przesłana do badań laboratoryjnych.
23-latek usłyszał zarzut spowodowania u 37-latka naruszenia czynności narządów ciała, a jego czyn został potraktowany jako występek o charakterze chuligańskim. Według Kodeksu karnego to taki występek, który polega na umyślnym zamachu m.in. na zdrowie, na wolność lub nietykalność cielesną albo na porządek publiczny, jeżeli sprawca działa publicznie i bez powodu albo z oczywiście błahego powodu, okazując przez to rażące lekceważenie porządku prawnego.
Skazując za występek o charakterze chuligańskim sąd wymierza sprawcy karę w wysokości nie niższej od dolnej granicy zagrożenia zwiększonego o połowę. Ponadto w takiej sytuacji warunkowe zawieszenie wykonania kary może nastąpić jedynie w szczególnie uzasadnionych przypadkach. Napastnik odpowie też za narażenie na bezpośrednie niebezpieczeństwo utraty zdrowia lub życia 8-latka, który stał na linii strzału.
Sprawca był już wcześniej karany za rozboje i jest znany wodzisławskim funkcjonariuszom. W poniedziałek, na wniosek policji i prokuratury, został tymczasowo aresztowany na trzy miesiące. Grozi mu co najmniej pięć lat więzienia.


