Krakowscy kardiolodzy mają nową metodę walki z nadciśnieniem tętniczym. Pionierski zabieg wykonany w szpitalu Uniwersyteckim polegał na modulacji układu nerwowego nerki. Pacjentka po "operacji" czuje się dobrze i za kilka dni wróci do domu.
Na całym świecie na nadciśnienie tętnicze uskarża się prawie miliard osób. Przewiduje się, że w 2025 będzie na świecie 1,5 miliarda osób, mających ten problem. Do tej pory najskuteczniej działały leki obniżające ciśnienie - były jednak przypadki, że i one nie pomagały. Jest 10 procent chorych, którzy pomimo zażywania 5-6 leków dalej maja za wysokie ciśnienie tętnicze zagrażające ich życiu - twierdzi profesor Dariusz Dudek, który przeprowadził pionierski zabieg.
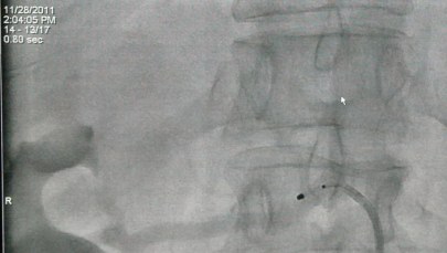
Sam zabieg nosi nazwę denerwacji tętnic nerkowych. Umożliwia on skuteczne obniżeniu ciśnienia tętniczego. Kardiolog wprowadza cewnik do tętnicy nerkowej i za pomocą impulsów elektrycznych moduluje układ unerwienia nerki. Dzięki temu zabiegowi układ nerwowy przesterowuje układ krążenia tak, że spada ciśnienie tętnicze krwi o 10-20 milimetrów słupa rtęci.


