Tylko szczepionka przeciw Covid-19 może pomóc uchronić dzieci przed powikłaniami PIMS. Zaszczepieni dorośli będą bezpieczni dla dzieci. Zespół pocovidowy (PIMS) jest niezwykle niebezpieczny dla dzieci, bo Covid-19 wręcz pożera ich płuca – ostrzega szef Kliniki Pediatrii, Immunologii i Nefrologii w szpitalu Instytutu Centrum Zdrowia Matki Polki w Łodzi, prof. Krzysztof Zeman.
Prof. Krzysztof Zeman jako przykład podaje historię swojego małego pacjenta, który przeszedł PIMS (czyli bardzo niebezpieczny zespół pocovidowy).
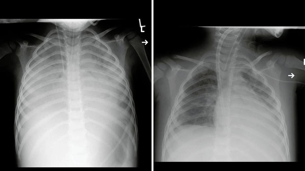
Jeden z ostatnich pacjentów, który pojawił się tu z takim powikłaniem, praktycznie rzecz biorąc, stracił płuca. Musiał być podłączony do bardzo wysokospecjalistycznej aparatury, który za niego oddychała (to było urządzenie ECMO, sztuczne płuco-serce, które przepompowuje krew i poza organizmem jest ona natleniana, a potem znów wprowadzana do krwiobiegu pacjenta - przyp. red.). Fachowość lekarzy, którzy się zajmowali chorym, spowodowała, że odzyskaliśmy tego pacjenta. Jego płuca można zobaczyć na zdjęciach, które zrobiliśmy w chwili przyjęcia do szpitala i później po kilkunastu dniach stosowania ECMO - podkreśla prof. Zeman.
Pediatra zauważa także, że dzieci z powikłaniami PIMS (a takich było leczonych w szpitalu ICZMP w Łodzi około 50), to nie są dzieci chorujące wcześniej.
Większość z nich dotąd nie chorowała poważnie - mówi lekarz. A statystki pokazują wyraźnie: jeżeli u dorosłych powikłania po szczepieniach w postaci choroby zakrzepowej, to jest ułamek procenta; to po przechorowaniu Covid-19 - jest kilkanaście procent - dodaje.
Warto więc się szczepić przeciw Covid-19 i zaszczepić młodzież w wieku od 12 lat. Zwłaszcza, że od września dzieci mają wrócić do szkół i przedszkoli w normalnym, stacjonarnym trybie.


